Track brain health changes over time
FDA 510(k) cleared
FDA 510(k) cleared
Scan faster.
Unlock critical health insights.
Faster scans, sharper images
AI-powered quantification and reporting
SwiftMR reduces MRI scan times. SwiftSight delivers objective, replicable brain health metrics.
Standard of care
With SwiftMR
With SwiftSight
Monitor brain health over time
Track changes in brain volume with reliable quantitative data, enabling earlier intervention and more informed care.
Track across scanners
SwiftMR and SwiftSight minimize scanner variability, enabling longitudinal tracking across vendors and models.
Siemens 1.5T
2026
GE 3T
2028
Philips 1.5T
2030
Track brain volumetry results over time
Physician Report
Patient Report
Deliver key insights
SwiftSight provides dual reports, one for you and one for your patients, helping you translate complex findings into clear guidance.
Case studies:
See SwiftSight in action
*For informational purposes only. Not intended for diagnostic use.
Longitudinal Tracking
Alzheimer's Disease Case Study 1
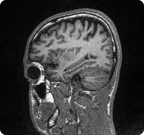
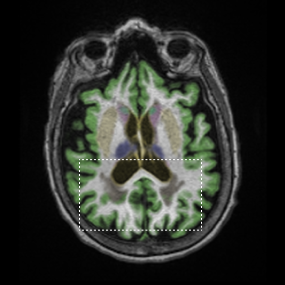
Retrospective brain volumetric analysis in a female patient diagnosed with Alzheimer’s disease at age 77 showed progressive brain atrophy over a 5-year period. The scans demonstrate both hippocampal volume loss and a clear left–right asymmetry.
Longitudinal Tracking
Alzheimer's Disease Case Study 2
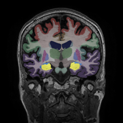
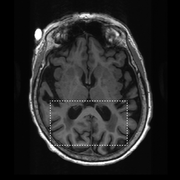
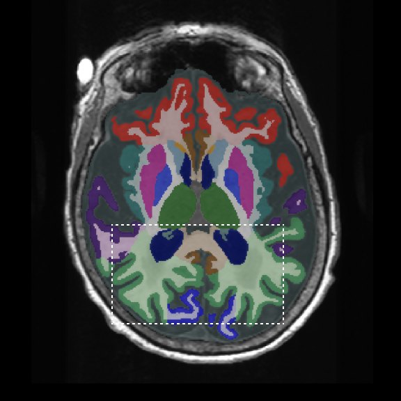
Retrospective brain volumetric analysis in a female patient diagnosed with Alzheimer’s disease at age 77 showed progressive brain atrophy over a 5-year period. The scans demonstrate temporal cortical atrophy with marked ex-vacuo enlargement of the lateral ventricles.
PATIENT
Female patient diagnosed with Alzheimer's Disease at Age 77
Analysis period
5 years
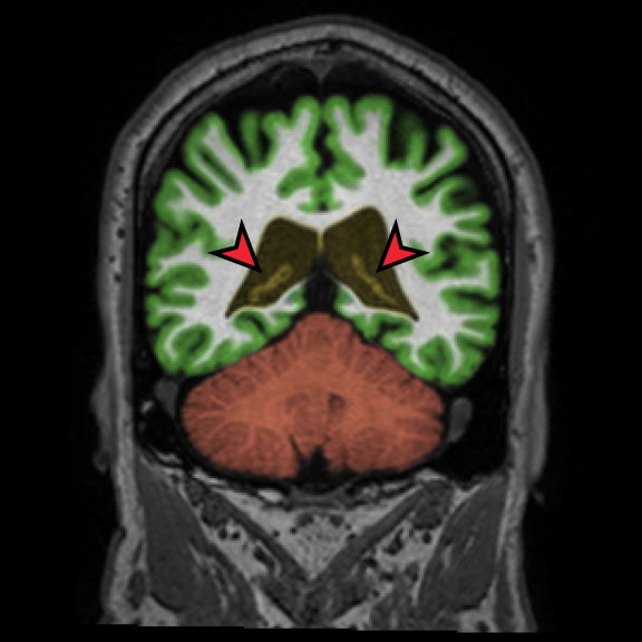
regions of interest
Hippocampi
Inferior lateral ventricles
Age 72
Age 76
Age 77
Whole brain
Hippocampi
Inferior lateral ventricles
PATIENT
Female patient diagnosed with Alzheimer's Disease at Age 77
Analysis period
5 years
regions of interest
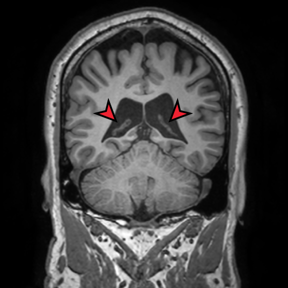
Temporal cortex
Hippocampus
Inferior lateral ventricles
Age 72
Age 74
Age 77
Temporal cortex
Hippocampus
Lateral ventricle
