Now FDA-Cleared to Operate Alongside OEM DL Solutions

When “Faster” Still Isn’t Fast Enough

SwiftMR Operates Alongside OEM DL Solutions

Meets the standard for quality.FDA-cleared and validated.

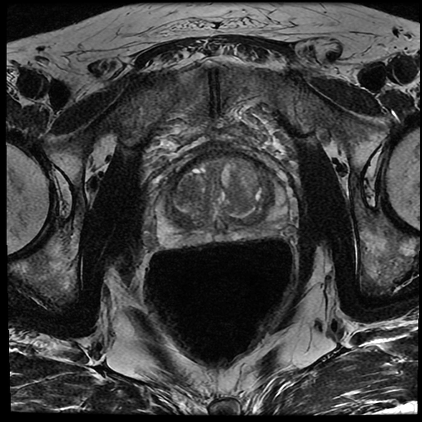
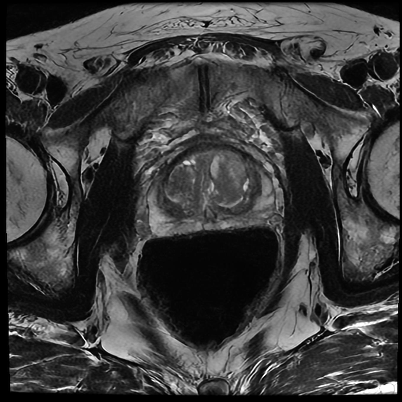
See the difference for yourself

Additional scan time reduction

Extend coverage to all pulse sequences and all body parts

Scan time reduction with OEM DL + SwiftMR

Unlock additional time savings.Expand coverage to all scanners, body parts, and pulse sequences.

Supported body parts, pulse sequence, field strength andMRI manufacturers may vary by country.

Unlock additional time savings. Expand coverage to all scanners, body parts, and pulse sequences.

Supported body parts, pulse sequence, field strength and MRI manufacturers may vary by country.

For many imaging centers, OEM DL solutions improve scan times, but not always far enough to change appointment slot times.

SwiftMR delivers the additional scan time reduction to help you achieve your target appointment slot.

SwiftMR works alongside OEM DL solutions in two ways:

In cases where an OEM DL solution is already installed, SwiftMR works in conjunction to deliver additional scan time reduction.

At an imaging center with a GE 3T scanner using AIR Recon DL, SwiftMR further reduced already-accelerated routine brain scans from 15 to 9 minutes.

In cases where an OEM DL solution does not cover a sequence, SwiftMR extends coverage and enables AI-powered image enhancement and scan time reduction across all pulse sequences and all body parts.

SwiftMR’s full coverage is FDA cleared and in clinical use since 2023.

“Over the past year, we trained SwiftMR specifically on OEM DL-processed images and tested across multiple vendors and field strengths. This FDA clearance confirms that it meets the standard for quality, and gives our customers the confidence to deploy SwiftMR alongside OEM DL solutions.”

With SwiftMR OEM DL Solution With SwiftMR OEM DL Solution Sag T2 — OEM Sag T2 — SwiftMR Sag STIR — OEM Sag STIR — SwiftMR Prostate Ax T2 — OEM Prostate Ax T2 — SwiftMR Ankle Ax PD — OEM Ankle Ax PD — SwiftMR Sag T2 — OEM Sag T2 — SwiftMR